기관지확장증 원인, 증상과 예방 및 치료
- 건강 음식 효능
- 2022. 11. 23.
기관지는 폐와 호흡기관을 연결하는 통로로 폐로 공기를 들이마시는 과정에서 섬모를 통해 외부에서 들어오는 이물질과 세균을 걸러서 제거하고 배출시키는 방어 기능을 합니다. 기관지는 다양한 원인으로 병들기도 하는데, 기관지가 감염되고 염증이 생기면 근육과 탄력 성분이 파괴되고 늘어나게 되고, 증상이 악화하면 기관지 확장증에 걸리게 되고 다양한 합병증을 유발할 수 있습니다.
기관지 확장증 증상과 원인 및 치료
기관지 확장증에 걸리면 기관지 벽의 근육과 탄력 물질이 파괴되고 기관지가 비정상적으로 늘어나 커진 상태로 본래대로 돌아갈 수 없게 됩니다. 기관지는 섬모가 손상되면, 외부로부터 들어온 이물질과 세균 등이 배출되지 못하고 쌓이고 번식하면서 염증을 유발해 기관지와 폐 기능이 저하될 수 있으며, 결핵과 홍역, 백일해 등의 감염성 세균으로도 생길 수 있습니다.

기관지 염증
기관지 내벽은 본래 점액으로 덮여 있으며 섬모를 이용해 먼지나 세균을 가래 형태로 만들어 배출하는데, 기관지가 늘어나게 되면 기관지 점막과 점액이 제 기능을 하지 못하고 기관지의 근육과 탄력이 손상될 수 있습니다. 특히 기관지 벽의 확장 정도가 정상 범위를 벗어난 것을 기관지 확장증이라고 하는데 가래를 잘 뱉어내지 못하고 염증을 유발해 기능을 약화하게 됩니다.
기관지 확장증 증상 및 중증도
기관지 확장증은 부분적으로 나타날 수도 있고 기관지와 폐 전체에 걸쳐 광범위하게 나타날 수도 있으며 본래 상태로 회복되지 않는 영구적 손상으로 남게 됩니다. 특히 조기에 치료하지 않으면 염증 반응으로 증상이 악화하고 합병증을 유발하게 되는데, 염증이 폐포까지 침투하면 심한 객혈이나 폐렴, 전이성 폐농양, 농흉, 폐심장증 등의 합병증을 유발하기도 합니다.

기관지 확장증 중증도
기관지 확장증의 주요 증상은 가래 배출로, 가래 배출량으로 기관지 확장증의 중증도를 구별하기도 합니다. 1일 가래 분비량이 10mL 미만이면 경증, 10~150mL 사이는 중등도, 150mL 이상은 중증으로 분류하며, 심한 경우 누런 가래와 섞인 혈액 배출될 수 있으며, 증상이 심할 경우 객혈이 발생할 수 있습니다. 가래의 배출 외에 만성 기침, 숨 가쁨, 악취 등의 증상이 나타날 수 있으며 피로, 근육통, 체중 감소 등의 전신증상을 동반할 수 있습니다.
기관지 확장증 원인
기관지는 섬모가 손상되면 세균 번식과 함께 염증이 생기고 심해지면서 가래도 많아지게 되는데, 기관지가 확장되면 가래 배출이 원활하지 못하기 때문에 기관지 속에 고이게 되면서 이차성 세균 감염을 일으킬 수 있습니다. 또한, 가래가 심부에 쌓이게 되면 병변 부위가 더 넓어지게 되고 화농성 가래도 더 많아지는 악순환으로 인해 병증이 깊어지게 됩니다.

기관지 확장증 요인
기관지 확장증의 주요 원인은 염증 반응을 일으키는 감염이지만 흡연도 증상을 유발하고 악화시킬 수 있습니다. 또한, 인플루엔자 바이러스, 아데노바이러스 등의 바이러스와 황색 포도상구균 등의 각종 세균, 혐기성 세균이 기관지 확장증의 주요 요인으로 알려져 있습니다. 또한, 어렸을 때 홍역, 결핵, 백일해를 앓았던 어린이들도 기관지 확장증에 걸릴 수 있는 것으로 알려져 있습니다.
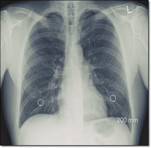
기관지 확장증 진단 및 예방과 치료
기관지 확장증을 검진하기 위해서는, CT나 X-ray 검사, 폐 기능 검사 등 다양한 검사를 통해 진단하게 됩니다. 또한, 기관지는 한번 손상되면 원래대로 돌아갈 수 없으므로 회복을 복적으로 하는 치료보다는, 증상의 악화를 방지하고 합병증을 예방하기 위한 약물과 외과적 치료를 시행하는 것으로 알려져 있습니다. 치료 약은 주로 항생제나 기관지 확장제, 점액 용해제 등을 사용하게 됩니다.

기관지 확장증 예방
기관지 확장증을 예방하기 위해서는 충분한 수분 보충이 필수적으로, 수분은 폐에서 분비되는 물질을 부드럽게 하여 쉽게 배출되게 하고 기침을 멈추는 데 도움이 됩니다. 또한, 커피나 차와 같은 각성 음료나 음식 섭취를 줄이고, 기관지와 폐 기능을 강화하고 면역력을 높이는 과일과 채소, 등 푸른 생선 등을 자주 섭취하는 것이 좋습니다. 또한, 걷기나 등산, 규칙적인 운동과 독감, 폐렴구균 백신 접종도 도움이 됩니다.

금연
흡연은 폐포의 세균 감염에 대한 저항력을 감소시킬 뿐만 아니라 기관지 확장증과 같은 기관지와 폐 관련 질병과 합병증의 주요 위험 인자로, 기도 점막의 점액 제거 기능을 감소시켜 기관지 확장증을 유발하고 악화시킬 수 있습니다. 특히 흡연자는, 담배를 피우지 않는 사람보다 섬모 손상률이 23배 더 많고 섬모가 움직이는 속도도 느린 것으로 알려져 있습니다.
'건강 음식 효능' 카테고리의 다른 글
| 세라펩타제 효능 및 효과 복용법과 주의점 (0) | 2022.11.26 |
|---|---|
| 협심증 전조증상, 협심증 원인 및 증상과 관리 (0) | 2022.11.25 |
| 노인 변실금 원인 및 증상과 치료 예방법 (0) | 2022.11.22 |
| 사구체신염 증상, 원인 및 치료 좋은 음식 (0) | 2022.11.20 |
| 기흉 초기증상과 원인, 치료 및 관리 좋은 음식 (0) | 2022.11.19 |